Размер шрифта:
Цвет:
Изображение:

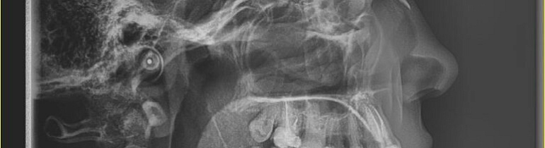
ТРГ Телерентгенография черепа в одной проекции

КОГДА НУЖНА ТРГ-ДИАГНОСТИКА?

ОРТОДОНТИЧЕСКОЕ ЛЕЧЕНИЕ — анализ аномалий прикуса

ПЛАНИРОВАНИЕ ОПЕРАЦИЙ — челюстно-лицевая хирургия

ДИАГНОСТИКА ПАТОЛОГИЙ — выявление нарушений развития

ОЦЕНКА РОСТА — контроль развития у детей и подростков

ПЛАНИРОВАНИЕ ПРОТЕЗИРОВАНИЯ — анализ окклюзионных соотношений

ЧТО АНАЛИЗИРУЕТСЯ НА ТРГ? 
  • Положение челюстей относительно друг друга

  • Углы наклона зубов и их соотношение

  • Профиль лица и эстетические параметры

  • Дыхательные пути и их проходимость

  • Ростовой потенциал у детей и подростков

ЧАСТЫЕ ВОПРОСЫ:

БОЛЬНО ЛИ ДЕЛАТЬ ТРГ? НЕТ! Процедура абсолютно безболезненна и не вызывает дискомфорта.

СКОЛЬКО ДЛИТСЯ ПРОЦЕДУРА? 5-7 МИНУТ, включая подготовку и позиционирование.

БЕЗОПАСНО ЛИ ЭТО ДЛЯ ДЕТЕЙ? ДА! Доза облучения минимальна и строго контролируется.

НУЖНА ЛИ СПЕЦИАЛЬНАЯ ПОДГОТОВКА? НЕТ, достаточно снять металлические украшения.


Остались вопросы?

Записаться на приём

Заказать обратный звонок

Задать вопрос